SDF 38% là phương pháp dự phòng và kiểm soát sâu răng sữa ở trẻ em. Hiện nay rất nhiều các bạn nhỏ không hợp tác với nha sĩ khi đi hàn răng sâu. Đó cũng là điều làm cho nha sĩ khá vất vả trong khi điều trị và bố mẹ phải lo lắng. SDF 38% chính là giải pháp cứu cánh cho nha sĩ và các con để dự phòng răng sâu tiến triển. Cùng tìm hiểu về phương pháp dự phòng sâu răng mới này qua bài viết dưới đây!
I. SDF 38% là gì?

SDF 38% (Silver Diamine Fluoride) là dung dịch không màu, được Nhật Bản sử dụng hơn 80 năm trong việc giảm nhẹ cảm ngà và ức chế sâu răng. Năm 2015 thì Mỹ bắt đầu sử dụng. Năm 2017 thì được giới thiệu lần đầu tiên ở Việt Nam và chưa được nhiều nha sĩ biết đến và sử dụng.
SDF gồm 2 thành phần chính:
- Fluoride: Có tác dụng tái khoáng hóa men răng. Giúp cho bề mặt men răng chắc khỏe hơn, ít bị ăn mòn bởi axit.
- Bạc: Giúp tiêu diệt tận gốc những vi khuẩn gây sâu răng. Làm cho lỗ sâu của chúng ta ngừng tiến triển tránh được những tổn thương
2. Tác dụng chính của SDF 38%

- Làm giảm cảm ngà ngay lập tức
- Tiêu diệt tận gốc các vi khuẩn sâu răng
- Làm cứng chắc các tổn thương sâu răng
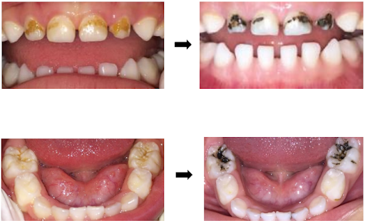
- Làm đổi màu vị trí có lỗ sâu
- Không làm đổi màu vị trí men ngà bình thường.
Nói chung SDF 38% được coi là an toàn, hiệu quả cao ngăn chặn sự tiến triển của sâu. Chi phí thấp hơn so với phương pháp điều trị sâu răng truyền thống.

3. SDF 38% được chỉ định trong những trường hợp nào?
- Trường hợp tổn thương sâu răng nhưng không hợp tác điều trị hàn răng.
- Trường hợp tổn thương sâu răng tạo lỗ không có biểu hiện lâm sàng viêm tủy.
II. Dùng SDF 38 % có an toàn ?
Theo nghiên cứu tài liệu của Nhật Bản thì chưa ghi nhận ca nào bôi SDF gây nguy hiểm đến sức khỏe toàn thân của trẻ em. Tất cả trẻ em hơn 1 tuổi đều được đi kiểm tra răng miệng và được bôi SDF ở lứa tuổi này.
Tuy nhiên điểm hạn chế khi bôi SDF sẽ làm đổi màu răng thành màu đen. Nhưng mà những vùng mô răng không bị mất khoáng thì sẽ không bị đổi màu. Khi bôi SDF xong dù răng có biến đổi thành màu đen nhưng không làm ảnh hưởng gì đến răng vĩnh viễn sau này.
SDF 38 % được đánh giá rất cao , là chất rất hiệu quả dự phòng sâu răng ở trẻ em.

Nếu bạn đặt lịch bôi SDF 38% cho con tại nha khoa Kinh đô vui lòng liên hệ với chúng tôi qua địa chỉ:
Nha khoa Kinh Đô – 336 Bà Triệu, phường Kỳ Lừa, TP. Lạng Sơn – SĐT: 0827.560.966





